查看: 13393|回复: 0

20岁男生肺被“啃”出10多个空洞!网友:原来我真的命大

[复制链接]

1

主题

0

回帖

3

积分

新手上路

积分
3
发表于 1 小时前 | 显示全部楼层 |阅读模式

马上注册,结交更多好友,享用更多功能,让你轻松玩转社区。

您需要 登录 才可以下载或查看,没有账号?立即注册 微信登录

×
对不少年轻人来说,脸上冒痘痘是再常见不过的事,顺手挤掉几乎是下意识的动作。然而近期,宁波大学附属第一医院呼吸与危重症医学科接诊的一位患者,给所有人敲响了警钟——这位20岁的大学生随手挤了一颗痘痘,居然引发了败血症和肺脓肿,足足住院治疗了近两周。

微信图片_2025-12-01_102004_941.jpg


>>>

只是挤了颗痘痘
肺竟被啃出十多个空洞

20岁的小林是名大二学生,前段时间为了准备考试,熬了几晚后脸上冒出一颗黄豆大小的痘痘。“又红又肿的很难看,我就想着挤掉能快点好。”他回忆道,当时没洗手就对着镜子挤痘痘,脓水挤出来时,他还觉得终于清爽了。


可过了几天,痘痘依旧化脓了,更糟糕的是,小林开始发烧咳嗽咳痰,即便吃了退烧药也只是暂时退下去,右下胸部传来的疼痛像有根针在扎,深呼吸、咳嗽时更是疼得他直冒冷汗。


熬到第三天,小林已经烧到39℃,赶紧来到宁波大学附属第一医院就诊。接诊的丁群力主任医师一看他的症状,立刻安排了CT检查。结果显示:小林的肺里有十几个空洞,部分肺组织已经坏死,这是典型的血源性肺脓肿。


进一步的细菌培养和基因检测揭开了真相,小林的血液里检出了金黄色葡萄球菌,这种细菌,就藏在每个人的皮肤表面。“‘罪魁祸首’就是那颗被挤掉的痘痘。”丁群力解释,“这颗痘痘长在脸部‘危险三角区’,挤痘痘时的压力把细菌推进了血管,引发了败血症接着细菌顺着血流跑到肺部,侵蚀肺组织。”


万幸小林年轻,身体素质底子好,对药物也较为敏感,经过12天的抗生素治疗,最终顺利康复出院。

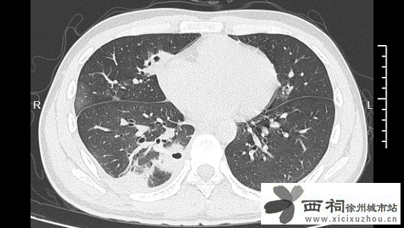
微信图片_2025-12-01_102010_204.png

小林的CT影像显示肺里有多个空洞


>>>

为什么一颗痘痘能“杀”到肺部?

“脸上痘痘不能随便挤主要是因为‘挤’这个动作会造成微小的组织创伤,引发一系列不良后果。”浙中医大二院(浙江省新华医院)整形美容科张亦轩医生说,粗暴挤压不仅可能将脓液推向皮肤更深层,形成更顽固、更疼痛的结节或囊肿,让问题变得复杂难愈,而且挤压会破坏毛囊壁,使原本被包裹的细菌和炎症物质向周围扩散,导致炎症加重,让一个小红包肿成更难消退的大硬包。

挤压还可能损伤真皮层的胶原蛋白,一旦支撑结构被破坏,皮肤无法完美再生,就会形成永久性的凹陷疤痕,即痘坑;同时,剧烈炎症还会刺激黑色素细胞,导致红色或棕色的痘印迟迟不褪。


“虽然大部分人都知道挤脸上痘痘风险最高,但其实身体上所有部位的痘痘都不建议随便挤。张亦轩医生说,比如,挤压背部的疤痕和痘印虽然没有脸部的危险,通但常比面部更难消退。而像臀部、腹股沟反复出现又大又痛、甚至流脓的“痘痘”,这可能不是普通的痤疮,而是化脓性汗腺炎或其他皮肤疾病,绝对禁止挤压,必须寻求医生帮助。


若痘痘已“熟透”且非挤不可,张亦轩医生提醒请务必遵守安全守则:首先确保时机正确,只处理顶端有白色脓头且不红肿的成熟痘痘。操作前用肥皂洗手并用酒精消毒痘痘区域及工具,建议使用消毒后的挤痘针。热敷软化皮肤后,用挤痘针环状端对准脓头轻柔施压,见脓液排出或冒出血清即停。最后用酒精碘伏消毒伤口,涂抹抗菌药膏,并保持伤口干爽透气。


张亦轩医生强调,痤疮虽常见,却不能轻视。“尤其是中重度患者,需要个性化、系统化的治疗方案,而非盲目尝试偏方或过度护理。”

他进一步解释,痤疮的诱因复杂,与雄激素水平、作息、饮食、压力、遗传等都密切相关。“治疗的关键在于‘控油’与‘消炎’,但方法要因人而异。”


目前,在痤疮的治疗上,西医常采用">酸类药物、抗菌药以及红蓝光、果酸换肤等物理疗法;中医则注重内调外治,如中药湿敷、火针、耳穴贴压等。张亦轩医生所在科室推行的是“中西医联合方案”,强调根据患者的个人体质与痘痘类型,量身定制治疗路径。

来源:徐州新闻


免责声明:如果侵犯了您的权益,请联系站长,我们会及时删除侵权内容,谢谢合作!
回复

使用道具 举报

插件定制,云服务器购买 联系QQ 860855665 ;更多精品应用
您需要登录后才可以回帖 登录 | 立即注册 微信登录

本版积分规则

管理员邮箱: 18114838333@163.com 侵权投诉入口 广告热线:18114838333 QQ 942194531 互联网违法及不良信息举报邮箱: 18114838333@163.com 未成年人不良信息举报邮箱: 18114838333@163.com
苏ICP备2022013941号-1
版权所有: 红星徐州

苏公网安备32032202000354号